"Nuova" malattia tra i militari Usa al rientro dalle zone di guerra
 











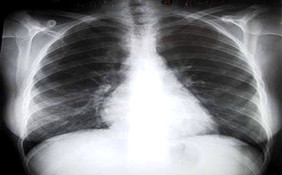
Dopo l’allarme per i possibili rischi per i militari in Afghanistan dovuti alla contaminazione con uranio impoverito ne arriva uno nuovo: chi torna da Iraq e Afghanistan potrebbe correre il rischio di sviluppare una malattia respiratoria rara nota come Brochiolite Costrittiva. A darne notizia oggi è il portale www.osservatoriomalattierare.it. “Uno studio condotto su 80 soldati americani rientrati dal Medio Oriente – si legge nell’articolo - ha evidenziato che più della metà dei militari presentava una dispnea da sforzo al rientro. La biopsia polmonare ha mostrato che quasi tutti i soldati rientrati dalle missioni con problemi respiratori sono affetti da bronchiolite costrittiva, probabilmente dipendente dall’inalazione di sostanze tossiche o dannose. Lo studio suggerisce quindi che esiste una stretta correlazione tra la bronchiolite costrittiva e la diminuzione delleprestazioni fisiche dei soldati che hanno prestato servizio in Medio Oriente” Lo studio in questione è stato condotto dal Medical Center della Vanderbilt Univeristy su un gruppo di 80 soldati provenienti da Fort Campell, in Kentuky, tra il febbraio 2004 e il dicembre 2006. Questi soldati, rientrati dall’Iraq o dall’Afghanistan, presentavano un’inspiegabile dispnea da sforzo (non erano in grado di portare a termine il normale esercizio fisico previsto dagli esercizi militari, due miglia di corsa). Molti di questi soldati sono stati esposti alle sostanze tossiche presenti nell’aria in seguito all’incendio della miniera sulfurea di Mosul (Iraq) durante l’estate 2003, ma non tutti. Di questi soldati 49 sono stati sottoposti a una biopsia polmonare toracoscopica, oltre ai controlli cardiopolmonari (spirometria e tutti gli altri controlli previsti dalle linee guida dell’American Thoracic Society). Per ben 38 dei soldati sottoposti a biopsia la diagnosi è stata di bronchiolite costrittiva. Inseguito gli stessi sono stati sottoposti a tomografia computerizzata elicale (CT) per ulteriori accertamenti. Quasi tutti i campioni delle biopsie hanno mostrato materiale polarizzabile corrispondente a inalazione di polveri sottili, nonostante la maggior parte dei soldati non sia mai stato fumatore. Le biopsie hanno anche mostrato ispessimenti delle pareti arteriolari o occlusioni di arterie adiacenti, solitamente causate da inalazioni di sostanze tossiche. L’età media del soldati che hanno preso parte a questo studio è di 33 anni, tutte persone in buono stato di salute, non affetti da patologie o sintomatologie respiratorie. Sarebbe stato semplice imputare la patologia all’esposizione inalatoria dell’incendio della miniera, ma solo 28 dei soldati esaminati ne sono stati interessati. Quasi tutti hanno riferito di aver respirato durante le tempeste di polvere (tipiche della zona) e di essere stati esposti all’incenerimento di rifiuti solidi in pozzi bruciati”.
Ilaria CiancaleoniBartoli da Dazebaonews.it









   
 



 
01-09-2017 - Alimentazione, e ora che posso mangiare? Viaggio nella spesa a zigzag
04-05-2016 - Cittadinanzattiva denuncia il mancato ’Patto per la salute’. Abolire superticket”
25-04-2016 - Cibi con aggiunta di vitamine? Solo marketing. E potrebbero pure essere dannosi per la salute
25-02-2016 - Pfas Veneto, il documento: “Emergenza non sotto controllo” su alimenti contaminati da cancerogeni
06-01-2016 - MEDICI RIVELANO: LE RICERCHE SUL CANCRO SON FALSE
12-11-2015 - Olio di palma contaminato
11-08-2015 - Violenze e sfruttamento per l’olio di palma durante il picco dell’emergenza Ebola
06-08-2015 - Due miracolose piante bibliche efficaci contro l’Alzheimer
11-06-2015 - Vaccino antinfluenzale,per la stagione 2015/2016
14-05-2015 - L’America è la patria delle Multinazionali e delle Lobby dei farmaci
06-05-2015 - TTIP e TISA. La salute in vendita
09-03-2015 - Nas, 18 tonnellate di alimenti scaduti sequestrati in 15 giorni
05-03-2015 - Expo, la denuncia: Usati semi nocivi ai bimbi L’azienda: Innocui, solo sacchi prestampati
04-03-2015 - Epatite C: il farmaco c’è. Ma costa troppo
24-02-2015 - Casa Sollievo della Sofferenza: presentazione progetto “Micro”

Privacy e Cookies